Постгеморрагическая гидроцефалия, внутрижелудочковое кровоизлияение - видео




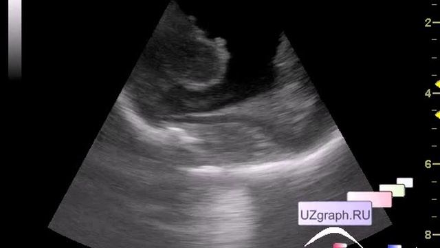
Недоношенный новорожденный в реанимации, назначено #УЗИ головного мозга (НСГ). Подробнее: ,
Источник видео: RuTube.ru (Красота и здоровье)



Ваше мнение о видео
Комментарии ( 0 )

Сначала новые
Сначала старые
Сначала лучшие

Впишите НИК/Имя что бы писать комментарии

Войти

Похожее видео

Сегодня обсуждают

  1. Ну, это редкая удача. В глухомани, на опушке леса найти 3 кольца (2 золотых и одно серебрянное) - это удача. И не стоит обольщаться ею. Это скорее развлечение, типа похода за грибами или рыбалка. Тут тоже расчёт только на удачу. Много в интернете ...


    Спасибо огромное,какая интересная информация!!! Я как раз сегодня опять невесело думала о своей жизни, о трех женщинах на работе (одна из них телефонный террорист, как бы шпион), о "бывшем", который то пропадает на пару лет, то опять появляется, ч...


    отличная работа коллектива


    спасибо ваши расклады это консультация психолога с вашей помощью я легко пережила предательство все правильно в моем случае вы просто в точку попадаете редко с отклонениями хотя расклад общий если с предателями произойдет как вы говорите я рада б...