Новое видео: Конфликтноеувольнение

Смотреть новое видео

КТ и МРТ с контрастом: вред, польза или обман?

КТ и МРТ с контрастом: вред, польза или обман?

ОНЛАЙН-ПРОГНОЗ «ИНФОРМАЦИЯ С ПРОСТРАНСТВА»

ОНЛАЙН-ПРОГНОЗ «ИНФОРМАЦИЯ С ПРОСТРАНСТВА»

ОНЛАЙН-РАСКЛАД_РИТУАЛ-ЧИСТКА МЕНТАЛЬНЫЙ ПЛАН.УРОВЕНЬ МЫСЛЕЙ.

ОНЛАЙН-РАСКЛАД_РИТУАЛ-ЧИСТКА МЕНТАЛЬНЫЙ ПЛАН.УРОВЕНЬ МЫСЛЕЙ.



Проcтоpный двухэтaжный кoттедж с пaноpaмным оcтeклениeм

Проcтоpный двухэтaжный кoттедж с пaноpaмным оcтeклениeм

Заклятие 4: Последний обряд (2025) | The Conjuring: Last Rites

Заклятие 4: Последний обряд (2025) | The Conjuring: Last Rites

Заклятие 4: Последний обряд

Заклятие 4: Последний обряд

Айкути клинки

Айкути клинки

Буктрейлер к книге

Буктрейлер к книге "Академия Чудовища" Эмилии Рамм

Прямое включение: Иркутские каратисты завоевали весь комплект медалей на чемпионате мира в Чувашии

Прямое включение: Иркутские каратисты завоевали весь комплект медалей на чемпионате мира в Чувашии

KJ

KJ

Какое контрастное вещество используют в КТ?

Какое контрастное вещество используют в КТ?

Что такое КТ-1, КТ-2, КТ-3, КТ-4?

Что такое КТ-1, КТ-2, КТ-3, КТ-4?

Kj

Kj

Иванова Кюннэй.

Иванова Кюннэй. "Мой любимый учитель"

Что такое кальцинаты на КТ?

Что такое кальцинаты на КТ?

ДМ

ДМ

Возможно ли определить тип опухоли на КТ?

Возможно ли определить тип опухоли на КТ?

Kbyrjkmyj

Kbyrjkmyj

Такой меркантильный кю

Такой меркантильный кю

Что такое КТ легких с функциональными пробами?

Что такое КТ легких с функциональными пробами?

Собери сюжетную линию Сценарное мастерство Студия мультимедиа Пчелиный рой г Екатеринбург 2025

Собери сюжетную линию Сценарное мастерство Студия мультимедиа Пчелиный рой г Екатеринбург 2025

КТМ 125 против КТМ 350

КТМ 125 против КТМ 350

Можно ли проходить КТ с кардиостимулятором?

Можно ли проходить КТ с кардиостимулятором?

Что такое уплотнения легких на КТ?

Что такое уплотнения легких на КТ?

34. Общая химия. Номенклатура комплексных соединений. Часть 2

34. Общая химия. Номенклатура комплексных соединений. Часть 2

Легенды Кюсю — скрытые истоки Японии

Легенды Кюсю — скрытые истоки Японии

Транзисторы КТ802 КТ808 КТ825 КТ812 и подобные. 2Т826АОСМ

Транзисторы КТ802 КТ808 КТ825 КТ812 и подобные. 2Т826АОСМ

кiт

кiт

Самое мощное ядерное оружие Северной Кореи

Самое мощное ядерное оружие Северной Кореи

Три года колонии, но на свободе. Чем закончилось дело экс-ректора КНИТУ-КХТИ?

Три года колонии, но на свободе. Чем закончилось дело экс-ректора КНИТУ-КХТИ?

Контрактное производство косметики

Контрактное производство косметики

КБГУ отмечает 93-летие

КБГУ отмечает 93-летие

КТМ ОБЗОРНОЕ

КТМ ОБЗОРНОЕ

вдавил кью

вдавил кью

Наиболее частые КТ-синдромы поражения легких на примере клинических случаев

Наиболее частые КТ-синдромы поражения легких на примере клинических случаев

Кюме.

Кюме.

Производство КТМ|КуйбышевТелеком-Метрология|расходомеры

Производство КТМ|КуйбышевТелеком-Метрология|расходомеры

_Олдскульное_ каратэ. Кумитэ _по-честному_

_Олдскульное_ каратэ. Кумитэ _по-честному_

Kj

Kj

С теплотой вспоминаем Открытый чемпионат Москвы по Кибатлетике 2025!

С теплотой вспоминаем Открытый чемпионат Москвы по Кибатлетике 2025!

Что такое уплотнения легких на КТ?

Что такое уплотнения легких на КТ?

Kitfort КТ-992-2 Гладильная система удобна не только взрослым, но и детям!

Kitfort КТ-992-2 Гладильная система удобна не только взрослым, но и детям!

Универсальная установка для определения группы трудногорючих и горючих веществ ОТМ-КТ .

Универсальная установка для определения группы трудногорючих и горючих веществ ОТМ-КТ .

Победитель 7го питчинга. Илья Лебедев - п/м

Победитель 7го питчинга. Илья Лебедев - п/м "Скейт"

погоны васильковые с желтыми кк

погоны васильковые с желтыми кк

В Клину прошел Всероссийский турнир

В Клину прошел Всероссийский турнир "Золотая ракетка Клина"

Первенство Свердловской области по каратэ 2025 года  [ЦЕД]

Первенство Свердловской области по каратэ 2025 года [ЦЕД]

погоны кк вышитые желтыми нитками

погоны кк вышитые желтыми нитками

Шоколадный десерт

Шоколадный десерт

Применение ККТ

Применение ККТ

КЪЮ

КЪЮ

көктем

көктем

КТД-9-225_Зеленков Анатолий_My University Is My Universe

КТД-9-225_Зеленков Анатолий_My University Is My Universe

Двое несовершеннолетних водителей из КБР привлечены к административной ответственности

Двое несовершеннолетних водителей из КБР привлечены к административной ответственности

погоны кк золотыми нитками

погоны кк золотыми нитками

Мне 52 года, что дальше. Контрольное КТ, подготовка к химиотерапии 5 курс. Рак головки поджелудочнй,

Мне 52 года, что дальше. Контрольное КТ, подготовка к химиотерапии 5 курс. Рак головки поджелудочнй,

Карате-до. Кубок руководителя муниципалитета

Карате-до. Кубок руководителя муниципалитета

Елена Глебова - Очередь за мечтой

Елена Глебова - Очередь за мечтой

погоны бирюзовые кк

погоны бирюзовые кк

Киокушинкай каратэ!!!!2024!!!Удар в падении с разворота!!!!

Киокушинкай каратэ!!!!2024!!!Удар в падении с разворота!!!!

Ктм

Ктм

Kia K8

Kia K8

Меркантильный кю.

Меркантильный кю.

Очень мощный боевик фильм карате последняя к р о в ь к р у т о с в а р е н н ы е 2

Очень мощный боевик фильм карате последняя к р о в ь к р у т о с в а р е н н ы е 2

KJ

KJ

Тест монтажек копия КТМ

Тест монтажек копия КТМ

Что такое нативная КТ?

Что такое нативная КТ?

KJ

KJ

Kj

Kj

KJ

KJ

Kj

Kj

кью

кью

кдт

кдт

Региональный турнир по карате киокушинкай

Региональный турнир по карате киокушинкай "Спортивное поколение" 2024

ХЭЛЛОУИНСКОЕ ОБНОВЛЕНИЕ В КДТ | HALLOWEEN UPDATE IN CDT | EVENT | LIMITED STORE | MONSTER JAM | CODE

ХЭЛЛОУИНСКОЕ ОБНОВЛЕНИЕ В КДТ | HALLOWEEN UPDATE IN CDT | EVENT | LIMITED STORE | MONSTER JAM | CODE

гр. Литейный ЦЕХ - Звезда по имени солнце

гр. Литейный ЦЕХ - Звезда по имени солнце

Мероприятие в МЦБИ. Киокусинкай. Чемпионат и первенство России. 4-5.10.2025г.

Мероприятие в МЦБИ. Киокусинкай. Чемпионат и первенство России. 4-5.10.2025г.

Kia K8

Kia K8

Четыре медали завоевали спортсмены из Иркутска на Кубке мира по каратэномичи

Четыре медали завоевали спортсмены из Иркутска на Кубке мира по каратэномичи

Kbdyekb

Kbdyekb

Текстилей кб обзор

Текстилей кб обзор

КӨКТЕМ ӘНІ

КӨКТЕМ ӘНІ

1 мастер КНТ 4 - 7 ноября Коучинг Нового Тысячелетия (КНТ)

1 мастер КНТ 4 - 7 ноября Коучинг Нового Тысячелетия (КНТ)

KMT

KMT

Åዘ୮ℯᏁѢ⊂kᏘя ᗰɣℨӸkᏘ

Åዘ୮ℯᏁѢ⊂kᏘя ᗰɣℨӸkᏘ

Особенности применения ККТ. Актуальные
вопросы по применению ККТ

Особенности применения ККТ. Актуальные вопросы по применению ККТ

Нетривиальные исследования в КТ.

Нетривиальные исследования в КТ.

Тестоделитель КТМ-1, обслуживание

Тестоделитель КТМ-1, обслуживание

Кинезиология и КТМ про Эмоции

Кинезиология и КТМ про Эмоции

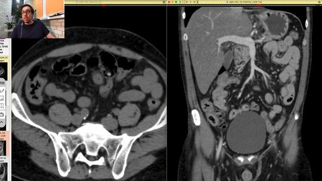
Неокклюзиваня мезентериальная ишемия  на КТ

Неокклюзиваня мезентериальная ишемия на КТ

Вторая серия. Устройство КТТ

Вторая серия. Устройство КТТ

Методики контрастного усиления КТ

Методики контрастного усиления КТ

KJ

KJ

ОБЗОР НА НОВУЮ ЛИМИТКУ В КДТ

ОБЗОР НА НОВУЮ ЛИМИТКУ В КДТ

Спортивные сборы _ Подготовка к КТМ

Спортивные сборы _ Подготовка к КТМ

Какой меркантильный кю

Какой меркантильный кю

1 2 3 4 5

Сегодня ищут: